8 природни начини да се ослободите од забен камен
Многу природни супстанции се препорачуваат како помош против тврди наслаги на забите кои се предизвикани од минерализацијата на плакот, но не го сфаќајте ова како „дозвола“ да ја занемарите редовната орална хигиена!
Правилно избрана четка за заби, паста за заби и конец за заби, секојдневно миење на забите најмалку двапати дневно и редовни прегледи кај стоматолог се законите на оралното здравје , вклучително и превенцијата од забен камен.
Природата крие лекови
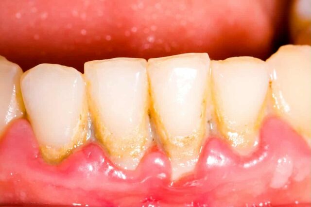
Забен камен е тврд наслаг кој најчесто се наоѓа на долните предни заби . Се формира од плак што се формира на забите во рок од половина час по миењето. Не се формира кај сите луѓе истовремено и може да биде вистинска мака за некои. Ако сте еден од овие луѓе, не заборавајте да пробате еден од следниве рецепти.
Сода бикарбона Ова е еден од најпознатите борци против овој непријатен феномен. Сè што треба да направите е лесно да ја намокрите четката за заби со вода и да ставите сода бикарбона врз неа. Мијте ги забите околу дваесет секунди, а потоа исплакнете ја устата со вода. Можете да додадете прстофат сол во содата бикарбона.
Храна богата со витамин Ц Најчестите рецепти за лесен „ексфолијација“ на забите се мешавина од јагоди и домати и кора од лимон и портокал (внатре) .
Сусам. Земете една шака сусам и џвакајте ги полека, но не ги голтајте. Измијте ги забите со оваа смеса со четка за заби.
Прав од зелена глина (достапен во аптеки за билки и продавници за природна козметика). Нанесете го правот на вашата четка за заби и користете го како паста.
Лушпи од орев Сварете 30 грама лушпи од ореви во вода 15 минути . Потопете четка за заби во оваа смеса и мијте ги забите 3-5 минути.
Јаболков оцет Еднаш неделно (не повеќе ) се препорачува кратко да ги исплакнете или триете забите со малку јаболков оцет (можете да користите четка за заби), но потоа не заборавајте темелно да ја исплакнете устата со вода.








